10814 N 71st Pl, Scottsdale, AZ 85254
480-991-0233
Back to Hybrid Dentures

🦷 Discover the Power of a Confident Smile with Hybrid Dentures!

Stronger. More Stable. Life-Changing.

Say goodbye to loose-fitting dentures and hello to a secure, natural-looking smile! Hybrid dentures (also known as implant-supported dentures) combine the stability of dental implants with the aesthetics of dentures—for a smile that feels as good as it looks.

Amazing Transformations

See the incredible results our patients have achieved with hybrid dentures. These real transformations showcase the life-changing impact of this advanced treatment.

Patient Transformation 1

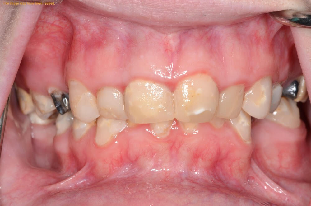
Before Treatment

Before hybrid dentures treatment showing damaged and missing teeth

Transformation with Hybrid Dentures

After Treatment

After hybrid dentures treatment showing beautiful, natural-looking smile

âś… Benefits of Hybrid Dentures

Unmatched stability – no slipping or clicking!
Eat, speak, and laugh with confidence
Natural appearance and comfortable fit
Long-lasting, secure solution
Easy to maintain

Why Choose Hybrid Dentures?

Unlike traditional dentures that rest on your gums, hybrid dentures are securely anchored to dental implants. This revolutionary approach eliminates the common problems of loose, uncomfortable dentures while providing a natural-looking, fully functional smile.

Your Journey to a New Smile

"Hybrid dentures offer a life-changing upgrade from traditional dentures—combining comfort, confidence, and longevity. The images provided reflect the dazzling results patients can expect. If you're considering this option, a consultation with a qualified prosthodontist is the next best step—they can assess your eligibility, explain the timeline, and personalize a treatment plan that fits your needs and smile goals."

Dr. Chris Zagami, DDS
Scottsdale, Arizona

Ready to Transform Your Smile?

Schedule a consultation to learn if hybrid dentures are right for you and see how we can help you achieve the confident smile you deserve.